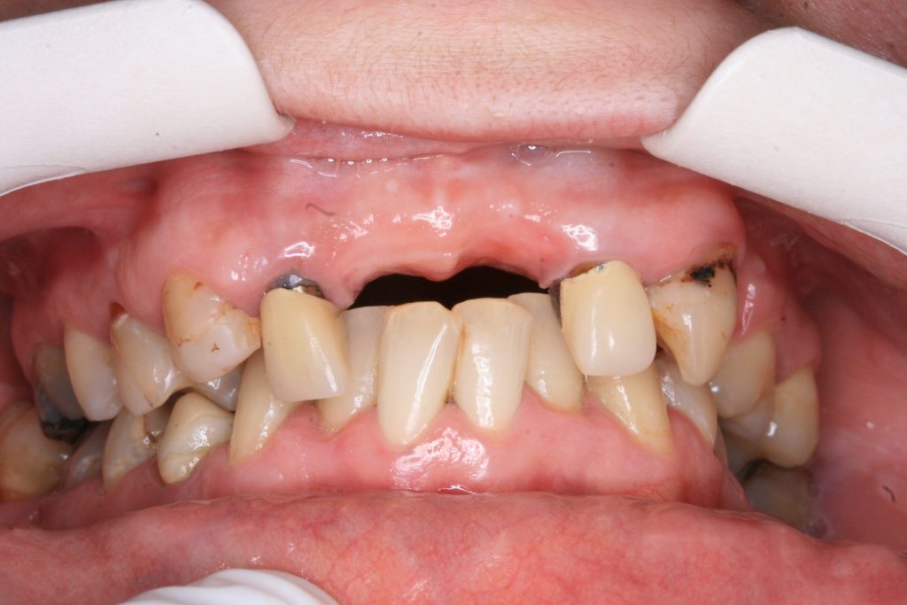
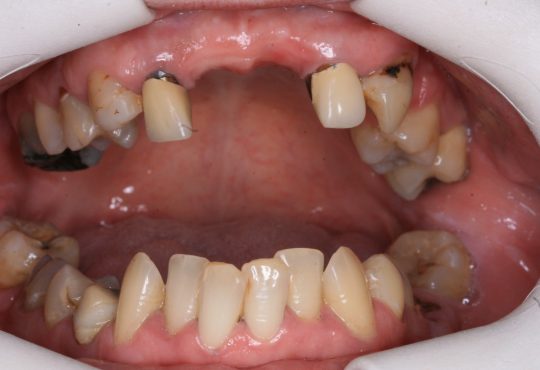
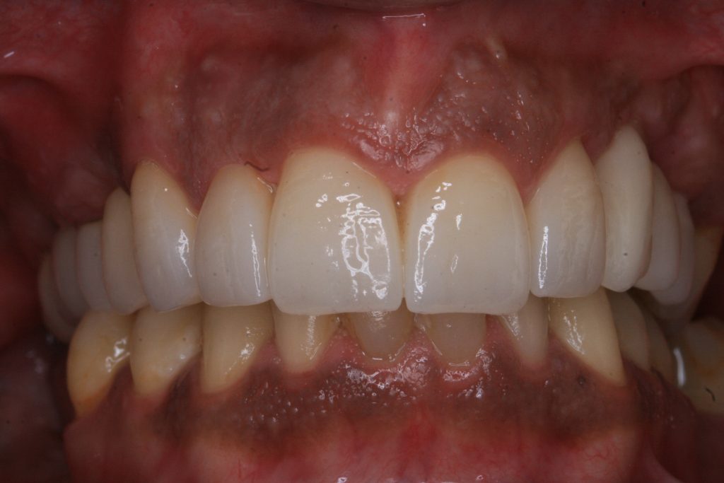
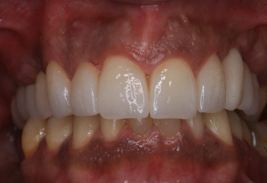
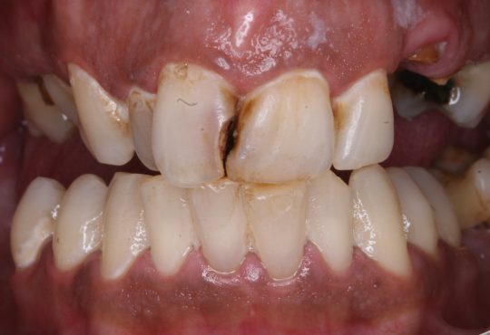
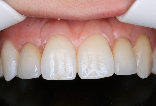
Reabilitação total superior e inferior com implantes.
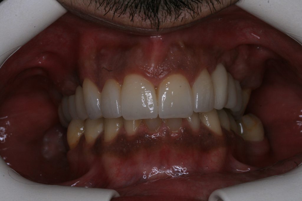
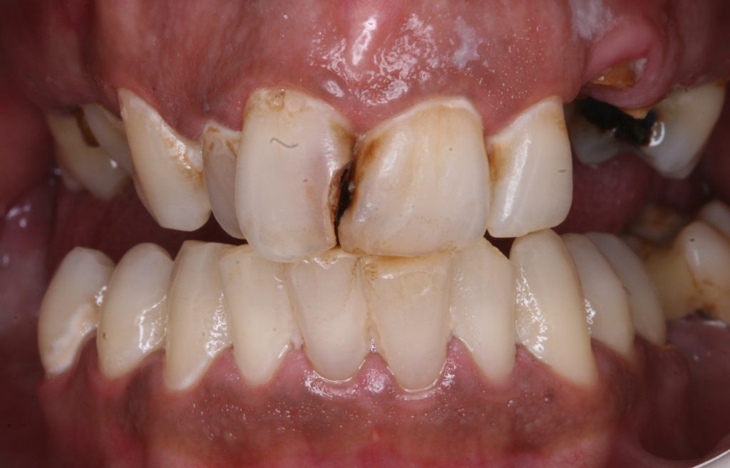
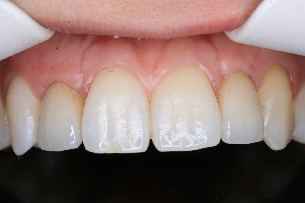
Coroas em ceramica.
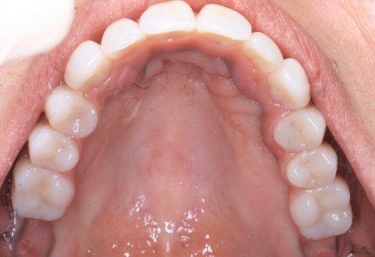
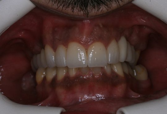
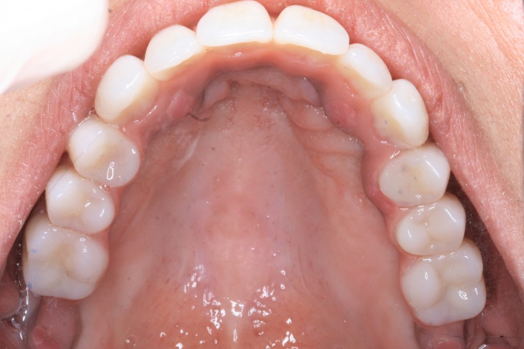
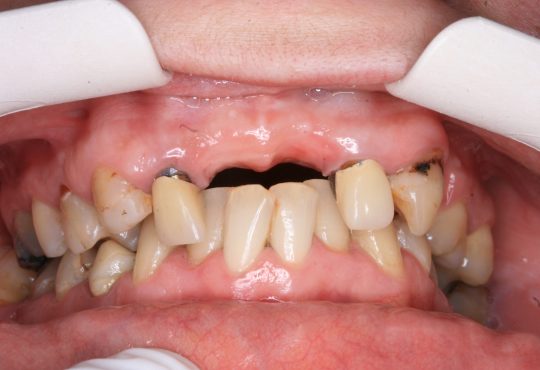
Reabilitação total superior sobre implantes.
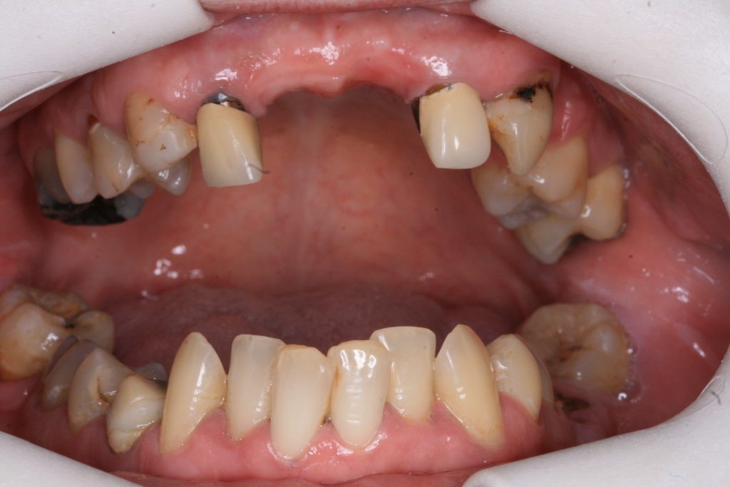
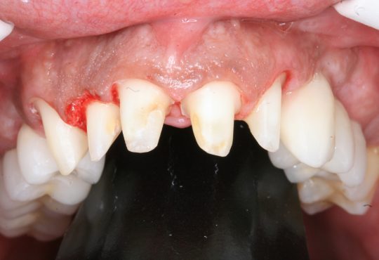
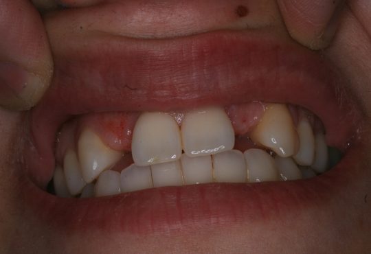
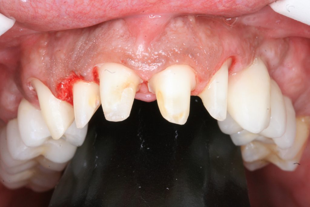
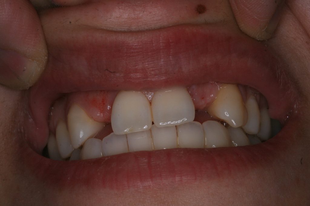
Implantes nos incisivos laterais.
Este website utiliza cookies que facilitam a navegação, o registo e a recolha de dados estatísticos.
A informação armazenada nos cookies é utilizada exclusivamente pela MDENTAL. Ao navegar com os cookies ativos consente a sua utilização. Ok, continuarSaber mais